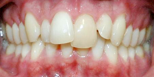
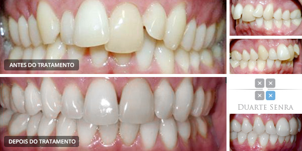
O Problema
Retrognatia mandibular ligeira, classe II dentária – mau encaixe entre dentes superiores e inferiores. Apinhamento superior (dentes superiores desalinhados).
A motivação da paciente foi estética e funcional.
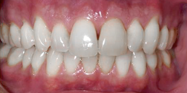
A SOLUÇÃO
Tratamento ortodontico com aparelho fixo bimaxilar e extracções dentárias na arcada superior.
A duração do tratamento foi de 20 meses.
Equipa
- Médico Dentista/Ortodontista
- Duarte Senra
Categoria
- Ortodontia
- Cirurgia Oral
Ortodontia
97.5%
Cirurgia Oral
0%









Casos Clínicos