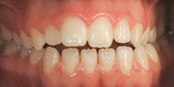
O Problema
Assimetria facial de origem mandibular – queixo desviado.
Mordida aberta e sorriso gengival.
A motivação da paciente foi essencialmente estética e funcional.
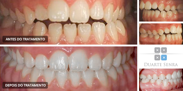
A SOLUÇÃO
Tratamento ortodontico cirúrgico ortográfico (TOCO) com aparelho fixo bimaxilar.
A duração do tratamento foi de 26 meses.
Equipa
- Médico Dentista / Ortodontista Duarte Senra
Categoria
- Ortodontia
- Cirurgia Ortognática
Ortodontia
70%
Cirurgia Ortognática
30%









Casos Clínicos