Recurso à cirurgia de exposição para tração ortodôntica em adolescentes
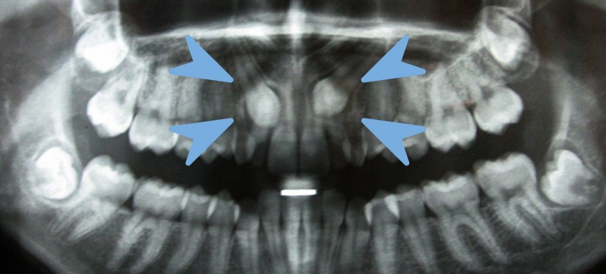
Os caninos inclusos são dentes que permanecem dentro do osso maxilar além da idade normal de erupção, apesar de terminada a formação radicular. A sua prevalência na população geral é de 2,2% para os caninos superiores e 0,35% para os inferiores. É a segunda inclusão dentária mais frequente (34%), sendo a primeira a inclusão de terceiro molar (dente do siso). A sua posição de inclusão é na maioria dos casos por palatino (87%), sendo menor em vestibular (8%) ou intermédia (5%). A posição correcta dos caninos é de fundamental importância para o desenvolvimento maxilar de um adolescente, logo, o tratamento ortodôntico deve sempre ser considerado para resolução desta patologia, e a altura da intervenção é de primordial importância.
A posição correcta dos caninos é de fundamental importância para o desenvolvimento maxilar de um adolescente
O plano de tratamento pode ser a simples extracção do canino decíduo, a abertura de espaço na arcada ou uma intervenção cirúrgica e tração ortodôntica. Um exame clínico e radiológico é necessário para uma correcta abordagem do caso. A análise da posição e forma da raíz é essencial para a decisão da possibilidade de tracção da peça dentária.
A intervenção cirúrgica varia conforme a posição do canino, a técnica ortôdontica utilizada e o estado dos tecidos periodontais. Na maioria dos casos, a técnica cirúrgica consiste na execução de um retalho de espessura total por palatino, osteotomia para exposição da coroa dentária e luxação ligeira do dente. Antes do reposicionamento e sutura do retalho, é colocado um dispositivo de ancoragem na coroa dentária para iniciar de imediato a tracção ortodôntica do dente para o respetivo espaço criado na arcada dentaria. Em casos extremos, onde a tração ortodôntica não é possível, a solução consiste no tratamento ortodôntico com a abertura de espaço para posterior colocação de implante dentário. A colocação de implantes dentários deve ser adiada até à idade adulta, sendo a peça dentária substituída provisoriamente por uma prótese removível ou ponte adesiva.








Casos Clínicos