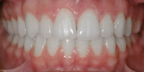
O Problema
Osso maxilar inferior recuado relativamente ao superior (Classe II esquelética por retrognatia mandibular), distância horizontal entre os dentes superiores e inferiores muito aumentada. Este tipo de problema origina patologia articular e alterações na dicção ou fala, mastigação e deglutição.
A motivação do paciente foi essencialmente estética e funcional
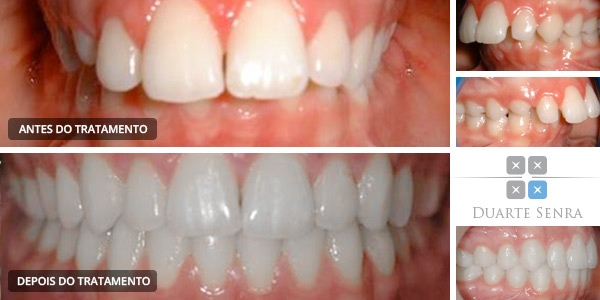
A SOLUÇÃO
1ª Fase – tratamento ortopédico: Estimulção e orientação do crescimento mandibular com aparelho funcional removível de uso noturno.
2ª Fase – tratamento ortodontico: Aparelho fixo bimaxilar.
A duração a primeira fase foi de 12 meses e a duração da segunda de 18 meses.
Equipa
-
Médico Dentista/Ortodontista
Duarte Senra
Categoria
- Ortopedia Dento-facial
- Ortodontia
Ortopedia Dento-facial
50%
Ortodontia
50%









Casos Clínicos