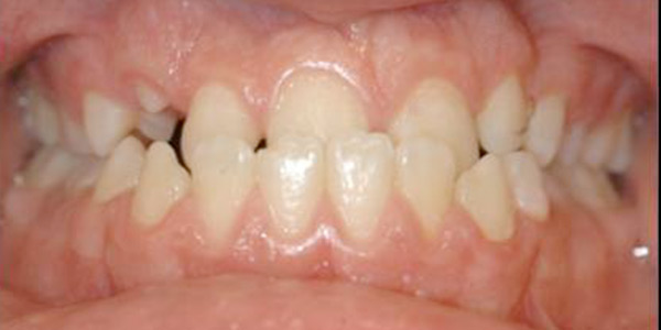
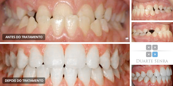
O Problema
Osso maxilar inferior avançado relativamente ao superior (classe III esquelética). Mordida cruzada anterior (dentes da frente encaixam de forma invertida).
Dente canino definitvo retido por falta de espaço.
Este tipo de problema origina patologia articular e alterações na dicção ou fala, mastigação e deglutição.
A motivação do paciente foi essencialmente estética, funcional e psicossocial.
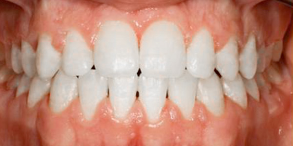
A SOLUÇÃO
Tratamento ortodontico com aparelho fixo bimaxilar.
A duração do tratamento foi de 30 meses.
Equipa
-
Médico Dentista/Ortodontista
Duarte Senra
Categoria
- Ortodontia
Ortodontia
100%









Casos Clínicos