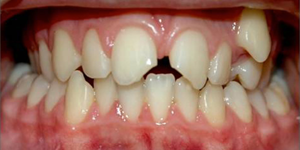
O Problema
Osso maxilar diminuído transversalmente (Endognatia maxilar) que leva estabelecimento de uma mordida cruzada bilateral. O problema mais associado à patologia articular (ATM).
Apinhamento dentário na arcada inferior que facilita o desenvolvimento de cáries e patologia periodontal (problemas de gengiva).
A motivação do paciente foi essencialmente estética.
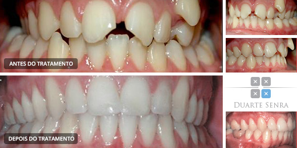
A SOLUÇÃO
1ª Fase – tratamento ortopédico: Expansão do maxilar com aparelho tipo Hyrax.
2ª Fase – tratamento ortodontico: Aparelho fixo bimaxilar.
A duração total da solução terapêutica foi de 2 anos.
Equipa
-
Médico Dentista/Ortodontista
Duarte Senra
Categoria
- Ortopedia Dento-facial
- Ortodontia
- Dentisteria estética
Ortopedia Dento-facial
25%
Ortodontia
65%
Dentisteria Estética
10%









Casos Clínicos